
MRCEPI-RADSProstate
Hevi AI - hProstate
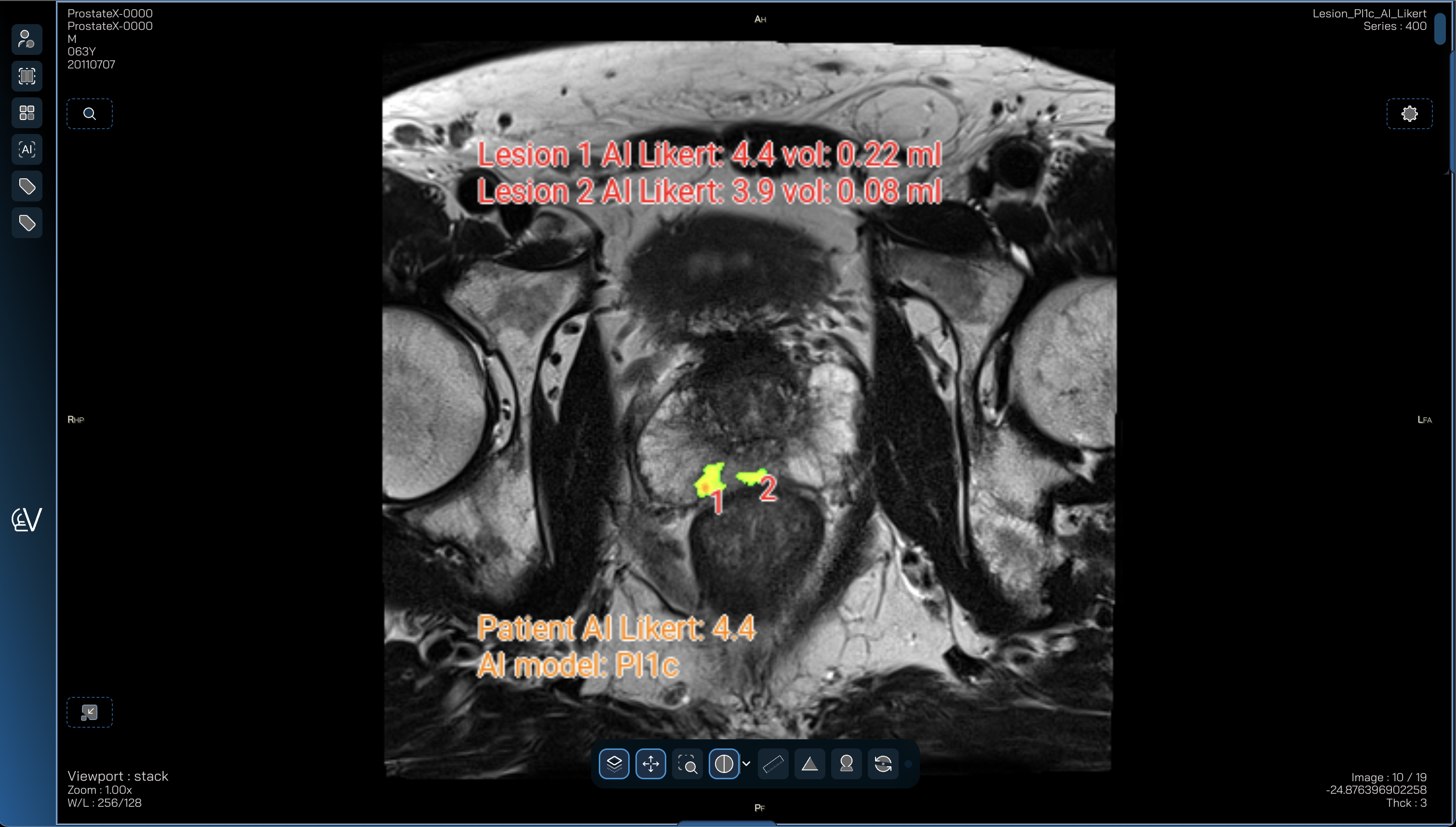
hProstate is an AI-powered clinical decision support solution that analyzes prostate MRI to automatically identify suspicious lesions, support PI-RADS assessment, and assist clinicians in improving accuracy and confidence in prostate cancer diagnosis.





